Ультрадіагностика — центр точної МРТ-діагностики
Медичний центр «Ультрадіагностика» — це найсучасніший і найсильніший центр МРТ-діагностики у Хмельницькій області, де поєднуються передові технології, інноваційне обладнання світового рівня та одна з найбільших команд лікарів МРТ у регіоні.
У центрі встановлено інноваційний МРТ Philips Ingenia 1.5T, оснащений технологіями штучного інтелекту (AI), що забезпечує високу точність зображень та дозволяє виявляти патології навіть на ранніх стадіях.
Наша головна мета — точна та професійна діагностика, адже правильний діагноз є основою ефективного лікування.
Чому обирають Ультрадіагностику
Найсучасніший МРТ
У центрі встановлено Philips Ingenia 1.5T — один із найсучасніших МРТ-апаратів у світі.
Технології штучного інтелекту
AI-алгоритми покращують якість зображення та точність діагностики.
Найбільша команда лікарів МРТ
У центрі працює понад 10 досвідчених лікарів-рентгенологів.
Висока точність діагностики
Поєднання сучасного обладнання та великого досвіду лікарів.
Комфорт для пацієнтів
Сучасні умови, уважний персонал та швидке проведення досліджень.
Зручне розташування
Хмельницький, вул. Пілотська, 1
Наші можливості МРТ
У центрі проводяться МРТ-дослідження:
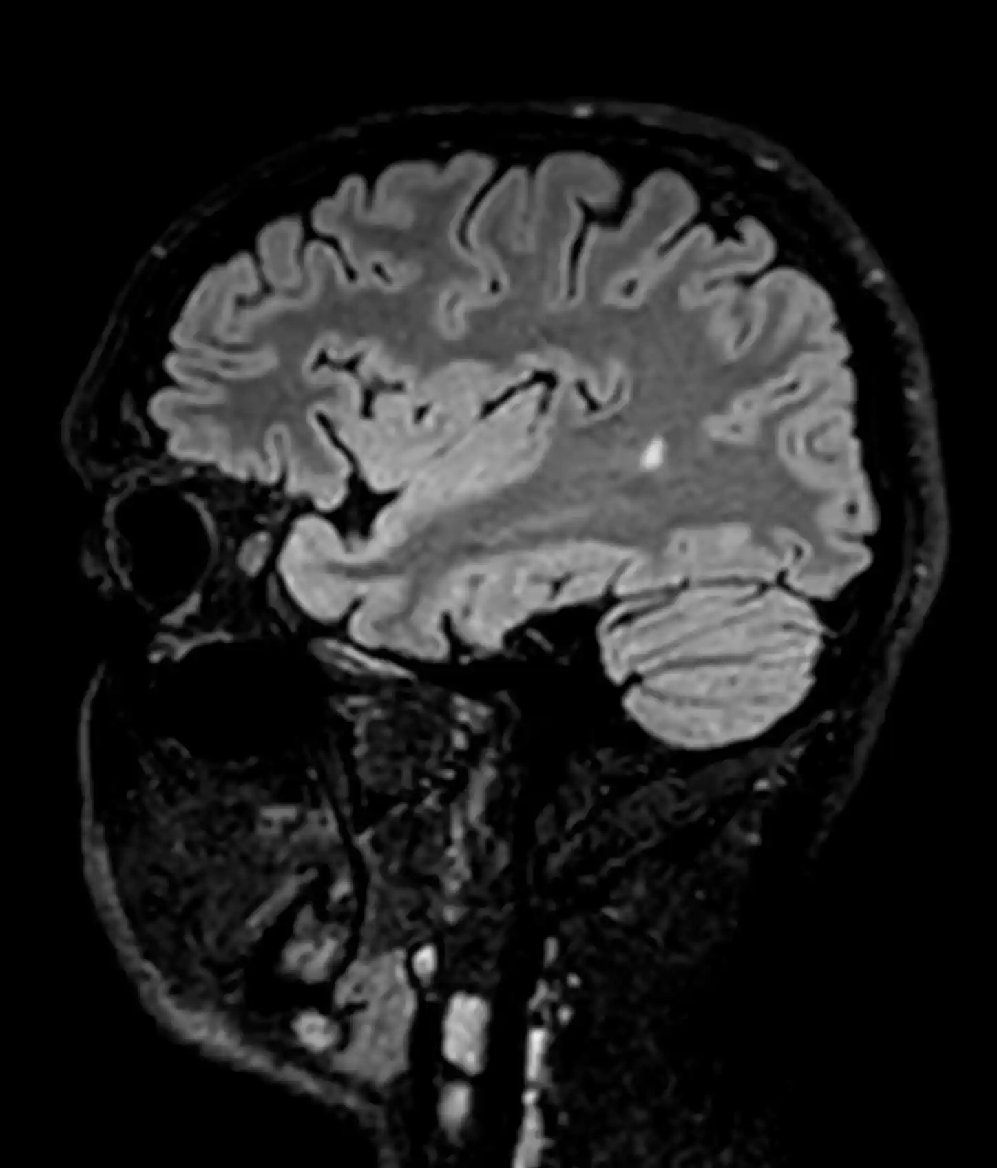
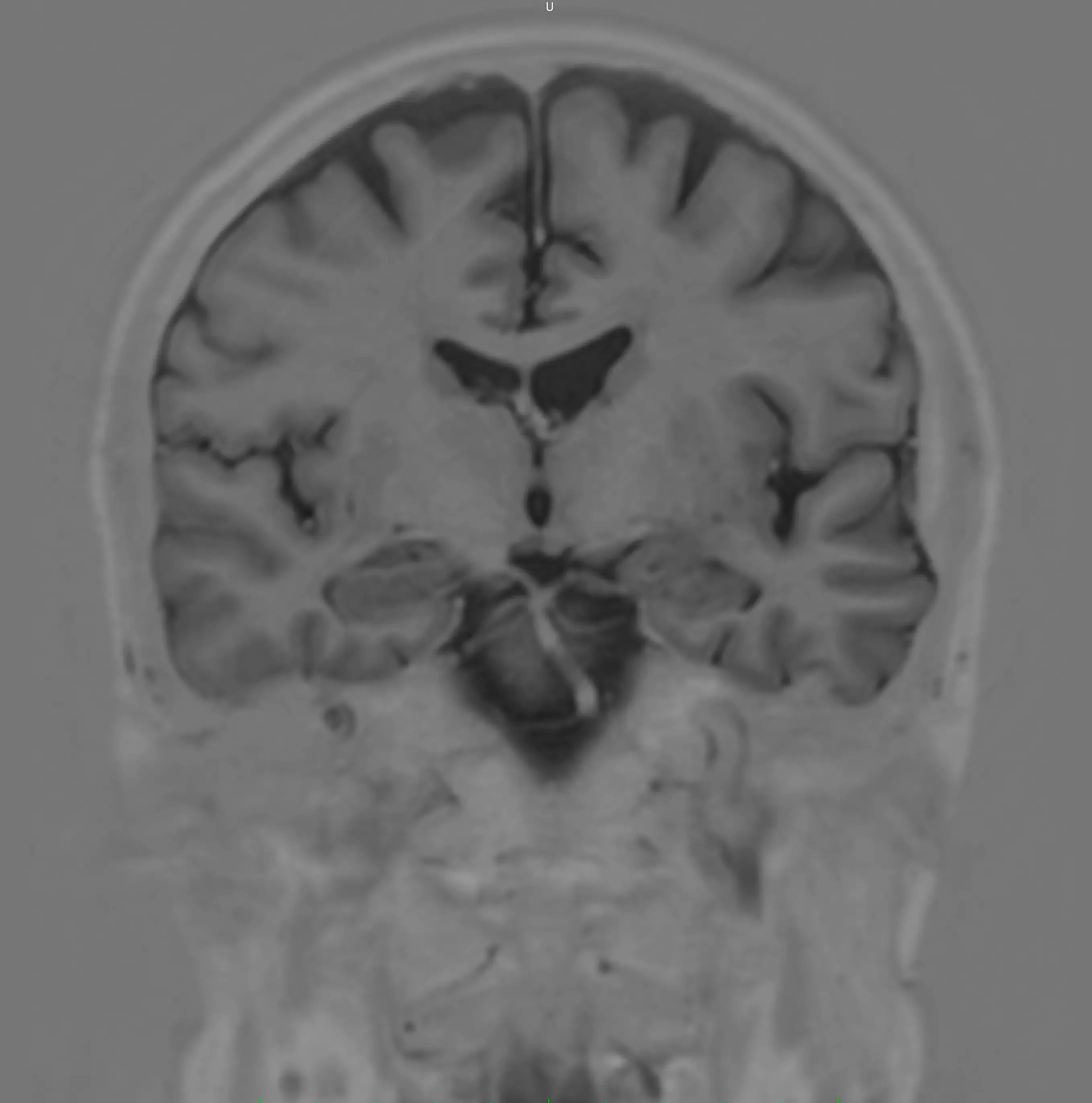
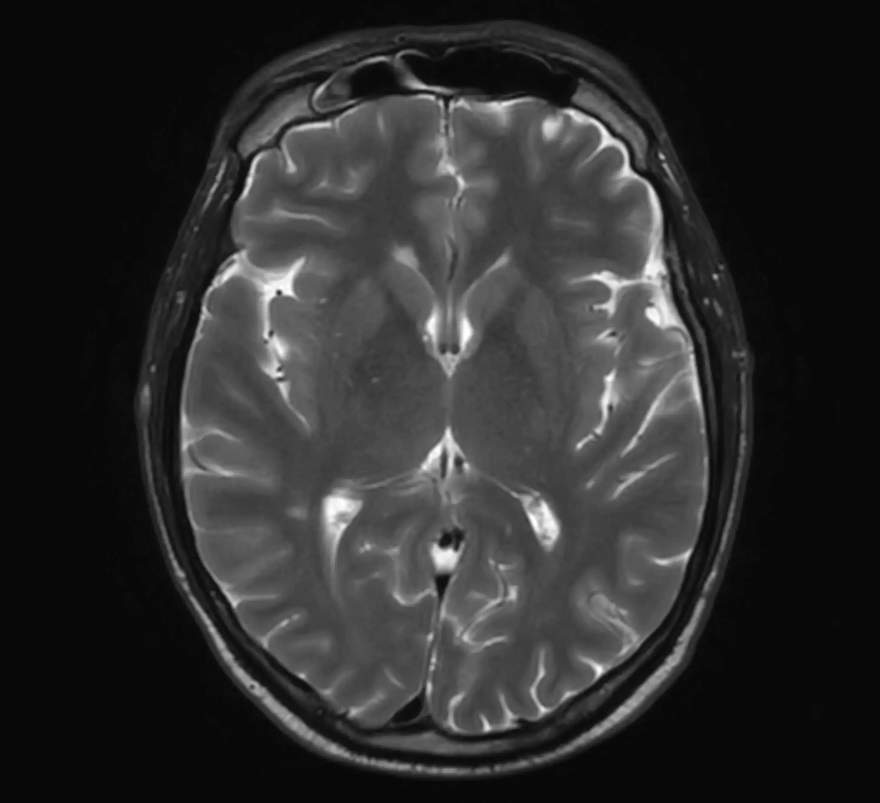
- головного мозку
- хребта
- суглобів
- внутрішніх органів
- судин
- м’яких тканин
Сучасні можливості МРТ дозволяють виявляти захворювання на ранніх стадіях.
Ультрадіагностика у цифрах
10+ лікарів МРТ
Одна з найбільших команд рентгенологів у Хмельницькій області.
Philips Ingenia 1.5T
Найсучасніший МРТ з технологіями штучного інтелекту.
Тисячі проведених МРТ-досліджень
Великий досвід у діагностиці складних клінічних випадків.
Сучасна точна діагностика
Світові стандарти медичної візуалізації.
Команда лікарів
У медичному центрі працює понад 10 висококваліфікованих лікарів-рентгенологів, які спеціалізуються на МРТ-діагностиці.
Наші лікарі:
- мають багаторічний досвід
- регулярно проходять навчання
- працюють за сучасними європейськими стандартами
- аналізують складні клінічні випадки
Комфорт для пацієнтів
Ми створили всі умови, щоб пацієнти отримували якісну діагностику світового рівня.
У центрі забезпечено:
- швидкий запис на обстеження
- сучасний сервіс
- комфортні умови
- оперативне отримання результатів


